中高生で矯正治療をするメリット
中高生の患者さまの症例
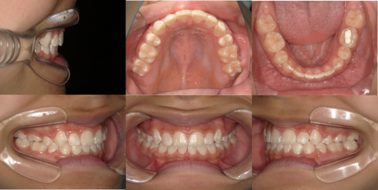
治療前

治療後

| 患者年齢 | 12歳 |
|---|---|
| 年齢主訴(治療動機) | デコボコな歯並びが気になる |
| 治療内容 | 上下左右第一小臼歯を抜歯し、マルチブラケット装置による矯正 |
| 治療期間 | 1年11か月 |
| 治療費用 | 825,000円(税込) |
| リスク、副作用 | 治療中は、歯の痛みや違和感、矯正装置の刺激による口内炎が生じることがあります。 歯根吸収や歯肉退縮、口腔内の清掃不良による歯肉炎・歯周病、むし歯が生じる場合があります。 矯正治療終了後は後戻りの可能性があるため、保定装置(リテーナー)の装着が必要です。 |
| ドクターからのコメント | 抜歯と非抜歯の2案を提案して仕上がりの差を説明し、患者様のご希望で抜歯を伴うマルチブラケット治療を行いました。 抜歯によりスペースができたため、デコボコな並びの改善と、前歯の後方移動による口元の突出感が改善しました。 |

中高生の時期に矯正治療を行うことには、多くのメリットがあります。この時期は成長期にあるため、矯正治療を効果的に進めやすい特徴があります。
最近では、目立ちにくい矯正装置(透明なマウスピース型矯正装置)も普及しているため、中高生でも学校生活に支障なく治療を進められます。
矯正治療のメリットを知ることで、健康な笑顔と自信を手に入れる一歩を踏み出しましょう!
小児矯正(永久歯が生えそろうまでのお子さま)についてはこちらのページをご覧ください。
治療期間が短くて済む可能性がある

中高生は顎の骨や歯がまだ成長している段階にあるため、矯正治療の効果が出やすく、場合によっては治療期間が短縮されることがあります。
学校行事や部活動などを考慮した治療スケジュールを組むことも可能です。
不正咬合による問題を早期に解決できる

中高生の段階で矯正を行うことで、これらのリスクを軽減できます。
- 虫歯や歯周病のリスク:不正咬合により歯磨きがしにくいため
- 噛み合わせの問題:食事や顎関節に影響を及ぼします
- 発音の問題:発音が不明瞭になる場合も
自己肯定感の向上

矯正治療により歯並びが整うと、笑顔や外見に自信が持てるようになります。
中高生は自己イメージを形成する重要な時期であり、この時期に自信を得ることが心理的な面でも大きなプラスになります。
成人後の治療より経済的・時間的に有利

成人後の矯正治療は、場合によっては顎の手術が必要になることがありますが、中高生の治療ではこれを回避できる場合があります。
また、早めに治療を始めることで、将来的な追加費用や治療時間を抑えられる可能性があります。
矯正治療の流れ
ライフスタイルや部活動に合わせた治療計画
中学生や高校生は学校生活や部活動をされている患者さまが多いため、通院スケジュールや生活スタイルに合わせた治療計画を立てていきます。
1相談
所要時間:30分

初回相談(予約制)
治療に関するお悩みや疑問点、心配なことがあればご相談ください。お口の中を診せていただき、治療の大まかな方針や費用などをご説明いたします。
事前に電話またはWEB予約をお願いします。
ご希望があれば、当日検査を行います。
2検査
所要時間:30分~40分

レントゲン撮影、写真撮影、歯型の採取などを行います。
この結果を元に、治療計画を立てます。
※当院のレントゲン設備は、お子さまにも安全な低被ばくのレントゲン機材を導入しておりますのでご安心ください。
3診断
所要時間:30分~60分

検査から1~2週間後に治療方法、治療期間、費用などを分かりやすくご説明します。
ご不明な点があれば、遠慮なくご相談ください。
十分に納得していただいてから治療を開始します。
4歯磨き指導
所要時間:30分~60分

矯正装置を装着すると、歯磨きの仕方が難しくなるので矯正治療の開始前に、歯磨き指導を行います。
5抜歯
歯並び、お口の状態によってはどうしても抜歯が必要な場合があります。
(当院での抜歯は行っておりません。通われている歯科医院もしくは提携の歯科医院をご紹介します。)
抜歯が必要な場合は、初診から装置装着までに最短でも1か月程かかりますので、新学期までに装置をつけたいなどのご希望がありましたら、お早目の受診をお願いいたします。
6矯正装置装着
所要時間:30分~90分

患者さまに合わせた矯正装置を歯に装着します。
7定期通院
所要時間:30分~90分

矯正治療中は1~2ヶ月に1回来院していただき、
歯並びの確認、矯正装置の調整、クリーニング等を行います。
8保定装置装着
所要時間:120分

歯並びが治ったら、歯を動かすための矯正装置を取り外しますが、
そのままにしておくと歯並びが後戻りをすることがあります。
それを防ぐために、保定装置(透明なマウスピース)を
3年程度使用していただきます。
その間は、3~6ヶ月ごとの来院をお願いします。
費用について
| 初回相談 | 無料 |
|---|---|
| 相談料(2回目以降) | 3,300円(税込) |
| 検査・診断料 | 33,000円(税込) |
| 唇側矯正(ブラケット) | 825,000円(税込) |
|---|---|
| マウスピース矯正(インビザライン) | 935,000円(税込) |
| 部分矯正 | 110,000~440,000円(税込) |
※矯正歯科治療は公的健康保険適用外の自費(自由)診療です。
よくある質問
矯正治療はいつ開始するのが良いですか?
何歳からという決まりはありません。
症状によっては未就学児で治療開始したほうが良い場合もありますし、経過観察で良い場合もあります。
気になる症状がある場合は一度ご相談ください。
入学式などで一時的に装置を外すことはできますか?
ワイヤー矯正の装置は、入学式などのイベント前に一時的に取り外すことができます。
(※ブラケットはそのままで、ワイヤーのみ外すのであれば費用はかかりませんが、ブラケットを外す場合は55,000円(税込)頂いております。)
取り外しの時期と期間を計画的に行いますので、早めにご相談ください。
最適なタイミングを選ぶことで、治療の遅れや後戻りを防ぐことができます。
部活動をしながら矯正治療はできますか?
部活動をしながらでも矯正治療は十分に可能です。
部活動の種類や活動内容に合わせて、適切な矯正装置の選択や治療スケジュールを計画していきます。
お気軽にご相談ください。
どのような装置がありますか?
歯を動かす装置としては、マルチブラケット装置、インビザラインがあります。
動かした後に安定させる装置としては、透明なマウスピースを使用します。
抜歯は必要ですか?
矯正治療には必ずしも抜歯が必要というわけではありません。
症例により抜歯が必要な場合もありますが、必ず抜歯のメリット、デメリットなどをお伝えしています。



